$16 Million jury verdict for misdiagnoses resulting in blindness and partial paralysis
- sergrufo
- Jul 13, 2022
- 1 min read
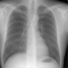
A student-chef with a history of asthma suffered a sudden onset of back and chest pain. A chest x-ray and CT angiogram were diagnosed as pneumonia, and not an embolism. Four months later, he collapsed at home. Tests revealed a massive pulmonary embolism, which affected his brain. An expert testified that, had the tests been properly reviewed and blood thinners issued four months earlier, the embolism would not have developed. The man is permanently blind and his left arm is paralyzed.











































Comments